智行千里, 造想未来

MORE +
电磁仿真

技术内容

流体仿真
Technical content
新闻资讯
结构仿真

医疗:利用仿真支持个性化诊断和预后,从而战胜儿童癌症

来源: | 作者:佚名 | 发布时间: 2026-01-15 | 150 次浏览 | 🔊 点击朗读正文 ❚❚ | 分享到:

本文原刊登于Ansys.com:《Using In Silico Oncology to Defeat Pediatric Cancer

作者:Thierry Marchal | Ansys医疗解决方案项目总监兼医疗行业首席技术专家

编辑整理:郑伟巍 | Ansys高级应用工程师

 

我们正在创建的模型,可帮助肿瘤学家决定最适合个体患者的治疗策略。

—— María Ángeles Pérez Ansón博士

 

María Ángeles Pérez Ansón博士的设想中,未来的世界将不再有癌症,而她将仿真视为实现这一愿景的关键。如果肿瘤学家可通过针对个体患者的癌症肿瘤数字模型进行精确的治疗仿真,医生即可快速选择最佳治疗方案,并减轻患者压力。

 

20多年来,Pérez一直从事人体仿真研究。她于2004年发表了论文《Simulation of Cement Deterioration and Interfaces Debonding in Cemented Hip Implants(骨水泥固定髋关节植入物中骨水泥退化与界面脱粘的仿真)》,以此取得了萨拉戈萨大学的博士学位,并且获得了“年度最佳技术论文”奖。

 

Pérez现任萨拉戈萨大学机械工程系结构力学教授。作为该校阿拉贡工程研究所机械与生物工程多尺度(M2BE)研究团队的一员,她持续活跃在仿真技术的最前沿。

 

M2BE的成员均是计算建模、材料强度和结构力学方面的专家。Pérez和她的团队没有选择将建筑或航空航天工程等领域作为研究方向,而是致力于探索复杂的生物过程及癌症机械生物学。他们的目标是通过推动组织工程、计算机辅助诊断和个体患者建模技术的发展,来改善医疗行业。

 

最后,他们希望这些努力将有助于构建基于云的平台,这不仅可协助制定癌症管理决策,还可改进管理治疗或手术干预的计划。

 

两种可怕的“敌人”

Pérez的工作与PRIMAGE项目密切相关。PRIMAGE代表预测性计算机仿真多尺度分析,可通过成像生物标志物来支持癌症个性化诊断和预后(PRIMAGE:PRedictive,In-silico,Multiscale,Analytics,diaGnosis,Empowerered)。

 

该项目由欧盟委员会资助,旨在找到将计算机建模与仿真(CM&S)或计算机仿真医学应用于传统医学成像的方法,以评估并治疗儿童癌症,特别是两种罕见但死亡率较高的癌症:神经母细胞瘤以及弥漫性内生性脑桥胶质瘤(DIPG)。

 

DIPG是一种发生在脑桥的脑肿瘤,脑桥是脑干的一部分,控制着身体的大部分无意识的重要功能,如呼吸、血压、心率和睡眠周期等。每年,每10万名儿童中有一到两名被诊断出患有DIPG,不幸的是,该病的死亡率极高。平均而言,90%的DIPG患者会在确诊后的两年内死亡。

 

神经母细胞瘤是Pérez在PRIMAGE项目中与M2BE团队合作研究的重点,这是一种可以发生在人体内任何部位的实体肿瘤。神经母细胞瘤虽然罕见,却是5岁以下儿童患有的最常见的实体癌。总体而言,高危病例的五年生存率为50%。

 

弥漫性内生性脑桥胶质瘤(DIPG) 

弥漫性内生性脑桥胶质瘤(DIPG)

 

小鼠神经母细胞瘤细胞系的荧光显微镜视图 

小鼠神经母细胞瘤细胞系的荧光显微镜视图

 

对于这两种类型的癌症,研究人员都想在具体实施之前了解治疗的效果。通过更有针对性的治疗方法,医生可以规避过度治疗的风险以及可能由此引起的健康并发症。M2BE团队在仿真方面的工作,可能最终能为癌症研究人员提供这种关键能力。

 

Pérez解释道:“我们正在尝试再现真实的生理现象,了解治疗如何影响或改变肿瘤的行为。我们正在创建的模型,可帮助肿瘤学家决定最适合个体患者的治疗策略。”

 

打造数字优势

为了构建神经母细胞瘤的数字模型,M2BE团队借鉴了他们之前对骨骼和细胞的研究。

 

此前,该团队成功地模拟了人体骨骼对机械载荷的反应,并用仿真演示了骨骼组织如何在骨折后愈合。他们通过涉及微流体和细胞培养的体外实验室工作验证了他们的模型。该团队将从这一经验中获得的技术应用于多尺度计算模型的开发,这些模型可以对肿瘤在治疗后的生长和肿瘤退缩进行预测和仿真。

 

Ansys产品的仿真 

 

Ansys产品的仿真功能对于M2BE团队在萨拉戈萨大学开展的研究和实验至关重要。“我们的分析极其复杂,而Ansys软件则可实现高水平的定制与控制。”

 

M2BE团队利用Ansys Mechanical APDL和Ansys Workbench的功能,从神经母细胞瘤扫描中提取现有的核磁共振成像(MRI)数据,并将其转换为数字模型的基础。

 

神经母细胞瘤的核磁共振成像(MRI)扫描 

神经母细胞瘤的核磁共振成像(MRI)扫描

 

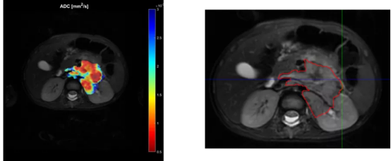
不同的MRI序列可提供身体和肿瘤生理学的详细视图。T2加权图像(T2w)显示了器官或肿瘤的几何结构。动态对比增强(DCE)成像可提供有关器官血管化的详细信息,而弥散加权成像(DWI)则可提供肿瘤细胞结构的洞察。在掌握了实验对象的这些细节后,该团队开始为他们的模型提供有效的有限元(FE)网格信息。

 

研究人员获取T2w-MRI切片并将其转换为.STL文件,以实现3D体积网格划分 

研究人员获取T2w-MRI切片并将其转换为.STL文件,以实现3D体积网格划分

 

通过堆叠肿瘤的T2w-MRI切片,该团队为模型构建了基础点云,然后将其转换为.STL文件(与3D打印中使用的文件类型相同),从而实现了3D体积网格划分。

 

为了改善网格基础并防止潜在的收敛问题,该团队接下来对模型的几何结构进行了平滑处理。随后,他们整合了有关肿瘤血管和细胞结构的临床数据,这些数据提供了肿瘤内部血管的路线图和逐个细胞生长的蓝图。

 

因此,团队可创建个体患者的物质扩散模型,或更全面的肿瘤模型,反映肿瘤的内部构造和流体通过肿瘤的方式。

 

物质扩散模型 

 

物质扩散模型 

物质扩散模型

 

最后,团队开发了个体患者肿瘤的机械模型以及控制其FE网格的公式。该模型可以对肿瘤生长过程中出现的细胞活动/过程进行仿真,也可以对氧气和营养物质的供应或化疗药物的引入做出响应。这些进展,使该团队能够对具体药物的影响或药物缺失的影响进行仿真。

 

在将其模型应用于临床病例时,团队的预测结果(源于对个体患者机械模型肿瘤生长和缩小的仿真)与实际治疗后的结果一致,实现了约90%的准确度。这一可喜的初始结果,确保了多尺度计算建模在癌症研究领域的有效性,并为该领域的进一步发展奠定了基础。

 

迈向癌症研究的新时代 

 

迈向癌症研究的新时代

Pérez坦言,这些模型即便只能为1%的癌症病例提供帮助,也将是一项惊人的成就,而且该团队现已取得的发展十分重要,这一点毋庸置疑。

 

M2BE团队通过制定创建神经母细胞瘤数字模型的方案,为其他研究人员对各种类型的癌症进行同样的研究打开了大门。与此同时,数字工程软件的进步正在将这一切变为可能,一个基于云的全球性知识库似乎正在成为现实。突然之间,一个没有癌症的未来,似乎也并非遥不可及的构想了。

 

Ansys Mechanical是业界领先的有限元求解器,具有结构、热学、声学、瞬态和非线性功能,可帮助改进建模。

 

Ansys Workbench通过在同一平台协调您的所有仿真数据,助力您更轻松地做出更明智的设计选择。

 

相关背景

María Ángeles Pérez Ansón博士参与机械和生物工程多尺度(M2BE)研究团队的工作与Avicenna联盟和PRIMAGE项目有关,而这两个项目与Ansys密切相关。作为创始成员,Ansys在Avicenna联盟中发挥着至关重要的作用。Avicenna联盟是一家总部位于布鲁塞尔的全球性非营利组织,致力于通过计算机建模与仿真来改善医疗行业。该联盟专注于计算机仿真医学的开发、监管和广泛应用。除了萨拉戈萨大学以外,Ansys也是PRIMAGE项目的技术合作伙伴,该项目是Pérez的研究所支持的主要工作。

名称描述内容

  技术要点

相关内容

更多

品牌软件